予防歯科
1.「予防歯科」への本気の取り組み ~診療に対する考え・思い~
『当院は、健康な人が、健康を維持するため、自ら進んで来院する。そしてみなさまが、より豊かな人生を歩むためのお手伝いをしたいと考えております。』
みなさんは、歯科、歯科クリニック、歯科医院、歯医者、に対してどのようなイメージがありますか?
「痛い」「怖い」などなど、歯医者に通って、嫌な思い・つらい思いをされた方も多いのではないかと思います。
福山市のなかむら歯科クリニックでは、これまでのような「痛い」「怖い」「行きたくない」というイメージの歯科医院ではなく、患者様が喜んで、楽しく、行きたくなるイメージの歯科医院にしたいと思っております。
そのために、痛くならないようにすること、虫歯になることを防ぐことが重要であると考えています。
最近、テレビのCMでも『予防歯科』という言葉をよく耳にすると思うのですが、予防歯科とは一体何なのでしょうか?
物事には必ず、原因と結果があります。
歯科治療の大部分は、歯を削って詰めたり、被せたり、歯が無くなってしまった部分への治療であり、結果に対するアプローチです。
それでは、原因とは何なのかというと、それは虫歯菌や歯周病菌などの細菌であり、歯軋りや食いしばりや食事の時に起きる力なのです。つまり、その原因を改善して、新たな結果を生じるのを未然に防ぐのが『予防歯科』なのです。
歯を自由に再生したり、元の状態に戻せたり出来れば、予防などしなくても大丈夫なのですが、それが出来ない現状においては予防こそが最善の治療なのです。
どんなに高価で高精度な治療よりも、生まれもっての健全な歯のほうが一生自分の歯で健康に過ごす可能性が高いのです。
歯を消費してから回復するのには、時間と費用と苦痛を伴います。歯を消費する前に予防していけば、時間も費用も苦痛も伴わないで済みます。
どちらがお得で賢い選択でしょうか?
これからの歯科は、虫歯や歯周病で悪くなった部分を治療するのではなく、健康な状態を維持する事が重要であると、当院では本気で考えています。
予防歯科では、口腔内のチェックや虫歯・歯周病の検査や定期的な清掃を行います。
歯科医院に対する皆様のイメージは「できれば行きたくないところ」「歯が痛くてどうしようもなくなったときしか行かない」「歯の状態は気になるけれど足が向かない」などといったものが多いと思います。
しかし、虫歯や歯周病は自覚症状があまりないうちに、進行してしまいます。
自分の歯や歯茎の健康を維持し、明るく楽しい食生活を末永く送るためには、お子様には定期的なフッ素塗布とシーラント治療による予防治療を、成人の方には1年に4~6回の歯の定期健診とクリーニングが是非とも必要です。
院長である私は、一昨年堅い物を不覚にも噛んでしまい、歯が割れた為に、金属の被せを、人生で初めて一つだけ入れました。それまでは、金属の被せをするような虫歯は一つもありませんでした。
それは、幼い頃からの両親の勧めによる定期的な歯科検診と予防歯科のおかげであると自負をしております。
皆様にも、この歯の健康の素晴らしさを味わって頂きたいと切に思っております。
そして、当院に通院し始めてから数年後、皆様に当院に通院した結果、虫歯の歯が治ったと思って頂けるよりも、『福山市 なかむら歯科クリニックに通院した結果、虫歯にならなくて良かった』と言って頂けると本望です。
ご自分の歯の健康を保つことによって、皆様の人生がより素晴らしくなるお手伝いをしていきたいと当院では考えています。
私が描く理想的な歯科医院とは、上記に記した歯を削らない『予防中心の歯科医院』と考えています。
歯医者なんだから、「歯は削るでしょう~」 とお思いの方が多いと思います。
しかし、歯は削ってしまうと元の状態には戻りません。もっと言うと、削れば削る程、悪くなります。みなさんにそうなって頂きたくないのです。
そのために、『予防の大切さ』をお話する目的と、患者様からのお話をゆっくり聞かせて頂くために、福山市 なかむら歯科クリニックでは、カウンセリングルームを設けています。
カウンセリングルームの設置とトリートメント・コーディネーター(診療カウンセラー)の常駐により、患者様とのコミュニケーションを大切にし、患者様の言わない・言えない不安を解消し、患者様の笑顔と笑い声が絶えない様な歯科医院作りを目指しています。
2.定期健診
定期健診は、お口の中の大掃除です。痛くありませんので気楽に受けて下さい。また、予防に対する意識を持ち定期的に歯科医院に足を運ぶことも大切です。
歯の治療=車の車検
ほとんどの人たちは、歯が痛くなってから歯医者さんに駆け込むのではないでしょうか。
どうしても歯科治療は「痛くなってから治療するもの」というイメージがあるんですよね。
予防歯科の大切さを知っていても、痛くもないのに歯医者さんには行きたくないという気持ちが出てきてしまうのでしょう。
「痛みが出てから行けばいい」という考えが根強くあるため、歯が痛み出さない限り、いいえ、夜も眠れないほどの痛みが出てきたときにようやくは医者に行こうと思います。
私たちのように歯科治療に携わる者としては、予防歯科の大切さを十分に痛感している分、駆け込んできた患者さんの奥地の中を見るたびに「もう少し早く来ていただければ この歯が助かっていたかもしれないのに……。」と胸が痛くなるのです。
おじいちゃん・おばあちゃんになっても、自分の歯で美味しく食事をして欲しい。大切な歯をできるだけ長く残していきたいという思いから、私たちは早期発見、早期治療、予防に力を入れています。
そもそも、なぜ定期健診に足が向かないのでしょうか?
その大きな理由には、「痛くなければ行く必要がない」「費用がかかる」などがあげられるようですが、定期健診の費用を惜しんだせいで、治療費が高くなってしまったというケースがたくさんあります。
そのため、医療費の節約のためにも、定期的に歯科を受診し、健診や、掃除をすることを私たちはオススメしているのです。
みなさんは、歯の健診は、車の車検と同じようなものだと言われているのをご存知ですか?
『歯と車が一緒なんておかしな話』 なんて驚かれる方も多いでしょう。
しかし、歯の健診や治療と、車の車検は、全く同じことなのです。
現代ではたくさんの人たちが車を愛用しています。
軽自動車から高級車まで、どんな車を購入しても、車には定期的な車検が義務づけられていますよね。
車検があるからこそ、みんな安全に車を使用することができているのです。
でも、仮に車検が義務づけられていなかった場合を考えてみましょう。
きっと、ほとんどの人たちは車に不具合が出るまで乗り続けるのではないでしょうか。
さんざん痛めつけてきた車の不具合です。
その車の修理にかかる時間と費用は想像以上のものになると思いませんか?
放置していたばかりに、予想以上の費用や時間がかかる。
でも、トラブルが起きる前に整備していたら、ずっと安全かつ快適に車を使用することができていたでしょう。
歯も全く一緒です。
どんなに素晴らしい車を乗っていても、定期的なメンテナンスを行っていかない限りいつかは不具合に見舞われるように、歯も定期的なメンテナンスを行っていかないと、歯の寿命は変わってきます。
悪くなる前に、定期的な歯科健診を行う。
これによって、歯の寿命が長くなり、健康的な生活を送っていくことができます。
定期健診について
当院では、3ヶ月に1回の定期健診(メンテナンス)をオススメしています。
健診の目的は、症状の再発防止のための予防処置と、検査中心の従来の早期発見・早期治療を行っていくようにするためです。
ただ歯を治療するための健診ではなく、健康を維持するための健診こそが 「定期健診」だと思っております。
本来ならば、「検診」という漢字表記になるのでしょうが、あえて「健診」とさせていただいていたのは、『健診』という漢字を用いた『定期健診』でありたいという、当院の診療理念からです。
定期健診(メンテナンス)の重要性
歯科治療により、あなたのむし歯・歯周病などは改善しても、むし歯や歯周病は、原因菌の数は定期健診をしていかないと少なくなりません。
原因菌を少なくして再発しにくくするために、定期健診を3ヶ月 (口腔内の症状により期間が異なります)毎に行う必要があります。
虫歯や歯周病という口の中のトラブルは自覚症状が出にくいため、症状が出たときにはすでに手遅れになることが多いです。そして、痛みやしみるといった自覚症状が出たときはかなり重症となっていますので、治療回数もかさみます。
そんなことにならないよう、患者さんご自身の毎日のブラッシングと、歯科医院による定期的な歯のクリーニングで、病気の再発を予防することが大切となってくるのです。これまでの説明により、早期発見・早期治療の大切さがご理解いただけたかと思います。
定期健診によってメンテナンスを定期的に受けた人と、受けていない人を比べると、受けていない人は受けた人よりも、むし歯、歯周病の再発率が10倍以上も高いという研究データがあります。あなたの歯が美しく長持ちするように、口腔内の健康に常に意識を持っていくことも大切なのかもしれませんね。
なかむら歯科クリニックでは、あなたがいつまでも健康な歯を持ち続けられるように、状況に応じて、3~4ヵ月毎の、定期健診をおススメしております。
定期健診(メンテナンス)の目的
メンテナンスの目的は、治療によって得られた口腔内の健康を持続させ、再発を防止することです。
メンテナンスによって、虫歯や歯周病を発症する前の潜伏期やごく初期の病気を発見し、予防処置を行い歯を生涯健康に保ちます。
また、口腔内の健康は全身の健康の維持増進にも大きく関係しているので、メンテナンスを行い歯も体も健康に維持できるよう当院は心掛けています。
どんなことをするの?
- 口腔内審査
- スケーリング
- PMTC
- 染め出し
- 歯磨き指導
- フッ素塗布 etc...
3~4ヵ月毎に行っています。
定期健診の進め方
STEP1
むし歯の有無、咬み合わせの問題などを診査します。
STEP2
歯ぐきの状態を診査し歯周病が再発していないかを調べます。
STEP3
歯石(むし歯や歯周病の原因菌の巣)を丁寧に除去していきます。(スケーリング)
STEP4
専門的な器具で歯の表面の汚れ(バイオフィルム)を丁寧に除去していきます。(PMTC)
STEP5
歯の表面の汚れ(バイオフィルム)を赤く染め出し、ブラッシング指導を行います。
STEP6
むし歯や歯周病の原因となる、歯石や歯の表面の汚れ(バイオフィルム)を除去することによって、病気になりにくい、きれいな口腔状態にすることができました。
定期健診をされている患者様インタビュー
3.平均残存歯数の比較
なぜ、日本人の残存歯数は、欧米に比べて少ないのでしょうか。
動物は、歯が無くなると、死んでしまうという話を聞いたことがありますか?
これは、人間にも当てはまることです。年を取っても、元気な方の共通点、それは歯が健康であるということです。
この歯の大切さを日本人のどれだけの方が、理解しているのでしょうか?
欧米では、歯の定期クリーニングを行うことは、一般的で、歯の大切さを認識しています。その結果、グラフのような違いが表れてくるのです。
定期的なクリーニングは歯周病の予防や進行の抑制に非常に効果が高いことが学会で発表されています。このグラフを見てください。
ブラッシングを自分なりにしっかりして治療もきちんと受けていても、80歳の時点で歯の数はやはりわずかに6~7本しか残っていません。
ところが、きちんと最新の予防プログラムを受けた人は80歳でも約16本残っているんです。
これは大変な差だと言えます。
この数は、アメリカや欧米などの歯科先進国では、大きな差があります。この数を増やすことが私たち歯科医院の使命だと言えるのかもしれません。
4.歯の予防・歯のクリーニングについて
「きちんと毎日磨いているのになぜ毎年のように虫歯ができるんだろう?」と思ったことはありませんか?
これまで、虫歯の原因というと、歯質、虫歯菌、砂糖などといった条件がそろうと発症する、といった説明がされてきましたが、最近ではより詳しいメカニズムが分かってきました。
また、その予防法もかなり確立してきました。
これからは、「ただ単に一生懸命磨く」だけでは、真の予防は難しいでしょう!
最近、歯のクリーニングという言葉をよく見かけたり、耳にしたことはありませんか?
プロの技術で、口の健康を保つ環境づくり「ピー・エム・ティー・シー」歯のクリーニングをご紹介します。
5.プロによる歯のクリーニング(PMTC)
P.M.T.C(プロフェッショナル・メカニック・トゥース・クリーニング)とは、歯科衛生士によって行われるプラークコントロールの機械的な方法です。歯周病や虫歯の予防はもちろん歯を白くする効果や歯周病や虫歯のリスクを減らせます!
歯周病や虫歯を引き起こす元凶、プラーク。オーラル・バイオフィルムとも呼ばれます。粘着性があるので、雑なブラッシングでは歯がたたない、何ともやっかいな存在です。バイオフィルムを取り除くには毎日の丁寧かつ適切なブラッシングが必要ですが。しかしながら何事も完ぺきにするのは難しいものですね。
歯ブラシが届きにくいところに、バイオフィルムの切れ端が残ってしまうことが多いんです。それをきれいに取り除くことを可能にするのが『PMTC』プロフェッショナル・メカニカル・トゥース・クリーニング。「専門家による機械的歯面清掃」です。
歯のクリーニングの所要時間は30分~1時間程度。痛みは全くありません。「途中で居眠りをしてしまう患者さんもいらっしゃいます。痛みや出血がないのが、ほかのケアと一番違うところではないでしょうか」当院歯科衛生士談。
一般的なホームケアでは行き届かない部分(特に隣接面)をより滑らかに、より清潔に保つことにより、プラークの再付着を予防します。
また、発病に関与する細菌を、通常おろそかにしているリスク面から完全に除去、または著しく減少させることができます。クリーニング後の気持ちよい感覚は、貴方にホームケアの努力を奨励することにもなるでしょう。特殊なブラシやゴムのカップを使用しますが、全く痛くはありません。
こんな方にオススメ
- タバコを吸っていて、ヤニが気になる方
- 歯石がつきやすい、または歯が汚れやすいと感じている方
- 歯ぐきが腫れたり、出血のある方
- 入れ歯やインプラントのお世話にはなりたくない方
- 歯ぐきが痩せて、歯が長くなったと言われたり、ご自身でお感じの方
- 歯周病やむし歯の予防をしたい方
- 何歳になっても自分の歯で食事を楽しみたい方
PMTCの効果
- バイオフィルムの破壊
※ミュータンス菌などの細菌が集合体を作り、歯の表面に形成された膜をバイオフィルムといいます。
- 菌の菌力を弱める→虫歯になりにくい口腔になる。
- 歯周病 ・ 歯肉炎の予防。
- きれいな歯を保つ、口臭の予防。
PMTCの流れ
1. ブラッシング状態、及び歯・歯肉の状態確認
染め出し液による歯垢の付着を明確化し、ブラッシングが不十分な部分をチェックします。
必要な場合はブラッシング指導を行います。「PMTC」前に歯や歯肉の状態を確認して、歯石があれば、機械または手用スケーラーを使って除去していきます。
2. 研磨ペーストの注入
歯の表面、歯と歯の間、歯の付け根部に研磨ペーストを塗ります。
3. 清掃・研磨
ブラシにて歯の表面の汚れを落としていきます。
歯の場所によって、形状が違う清掃器具を使用します。
歯と歯の間は、三角形チップにて磨きます。
歯の表面、及び歯と歯ぐきの境目はやわらかいシリコンラバーにて磨きます。
歯の噛み合う咬合面の溝は、山形ブラシにて磨きます。
4. 洗浄
消毒薬を含んだ洗浄液で、歯面と歯周ポケット内を洗浄し、お口の中全体を綺麗にしていきます。
5. フッ素塗布
虫歯を予防するために、歯質を強化するフッ素を塗布します。フッ素塗布後は、歯に浸透させるために30分間はうがいや飲食を控えて頂きます。
PMTCよくある質問Q&A
Q1. PMTCって何?
Professional Mechanical Tooth Cleaning の略。
歯科医師、歯科衛生士などの専門家により、さまざまな器具とフッ化物入りペーストを用いて、すべての歯面とその周辺のプラーク(歯垢)を除去する方法です。
約20年ほど前にむし歯、歯周病の予防管理を目的として北欧でシステム化され、現在多くのリサーチに裏付けられて着実な臨床実績を上げています。
Q2. PMTCはどんな効果があるの?
歯の表面がツルツルして気持ちいいばかりでなく、プラークに含まれる雑菌を落とすことによるむし歯・歯周病予防の効果があります。
また、歯肉の腫れや痛みを抑え、苦痛緩和、歯の延命効果も期待できます。
Q3. PMTCだけで、むし歯や歯周病は治るの?
PMTCはあくまでケア行為ですから、それだけでは病気は治りません。
しかし、プロのクリーニングによってお口の中の殺菌のレベルが低くなれば、それだけ治療成績も良くなります。
Q4. PMTCを行うのに最適な年齢はありますか?
年齢によって早すぎる、遅すぎるといったことはありません。
プロのクリーニングは、いつから始めても一定の予防効果が期待できます。大切なことは間隔を決めて定期的に行うことです。
Q5. PMTCで歯は白くなりますか?
歯の表面の着色は落とすことができますが、歯の色そのものは変わりません。
Q6. PMTCは何回かかるの?
ケースにもよりますが、通常1回から3回くらいかかります。
1回のチェアータイムは約30分から1時間を予定してください。
Q7. PMTCはどのくらいの間隔で行うのですか?
その方のリスク(歯や歯肉の強弱、細菌の強さ、唾液の量、着色の程度、生活習慣など)によってさまざまですが、一般的には3~4か月に1回の割合で行います。
Q8. PMTCって痛くないの?
歯のクリーニング専用に開発された特殊なブラシやゴムのカップなどを使うので、痛くありません。
PMTCの特長は爽快感と快適さにあります。
Q9. PMTCはだれが行うの?
歯科医師が行う場合もありますが、通常歯科衛生士が行います。
Q10. PMTCにかかる費用は?
患者さんのリスク、歯の汚れ具合などによって、さまざまなケースがあります。詳しいことはご相談ください。
6.痛くない、こすらない。次世代のクリーニング『エアフロー』
痛みなく、汚れを弾き飛ばす。エアフローで、かつてないツルツル体験を。
毎日しっかり磨いているのに、茶渋やヤニが落ちない…」
「クリーニングのガリガリ削られるような振動や音が苦手…」
そんな方にぜひ体験していただきたいのが、次世代のクリーニング機エアフロー」です。エアフローは、例えるなら「お口専用の高圧洗浄」。
強力な水と微細なパウダーの力で、歯を傷つけることなく隅々まで汚れを洗い流し、従来の器具では届かなかった隙間まで、短時間で見違えるほどスッキリ綺麗に仕上げます。
エアフローとは?(仕組みとパウダーの秘密)
エアフローの仕組み
エアフローは、非常に細かな専用のパウダーをジェット水流を用いて、歯の表面に吹き付け、口腔内の汚れを落とす最新の清掃技術です。
水圧で吹き飛ばす方法のため、歯や歯ぐきへの負担を最小限に抑えながら、汚れの膜(バイオフィルム)を徹底的に除去できます。
また、エアフローは直接触れることのできない場所の汚れでも落とすことが可能です。
矯正や入れ歯の方、インプラントのように取り外せない義歯を使っている方にもオススメできるクリーニング方法です。
当院がこだわる「魔法のパウダー」
当院では、世界トップクラスのシェアを誇るEMS社の「プラスパウダー」を採用しています。
従来のパウダーとは、粒子サイズも歯への優しさも異なります。
驚きの細かさ(低刺激)
一般的な研磨剤よりもはるかに粒子が細かく、丸みを帯びているため、痛みや不快感をほとんど感じることなく、究極のツルツル感を実感いただけます。
届かない場所をゼロに
この微細なパウダーは、非常に柔らかいのが特徴です。
そのため、従来では難しかった矯正器具の周りやインプラントの隙間などの部位も、安全かつ綺麗にクリーニングできます。
身体に優しい「天然成分」
パウダーの主成分である「エリスリトール」は、キシリトールと同様の天然の甘味料です。
メロン、ブドウ、キノコ類などの食品や、医薬品にも使われる安全な成分で、お口の中を中性に保つ効果や歯垢を分解しやすくする効果も期待できるため、虫歯や歯周病の予防に効果的です。
普通のクリーニング(保険診療など)と何が違うの?
従来のクリーニングとエアフローでは、「目的」や「歯への負担」、「クリーニングできる範囲」などに決定的な違いがあります。
| エアフロー | 従来のクリーニング |
| 主な目的 |
・バイオフィルムの除去 ・着色汚れの解消
|
・目に見える歯石の除去 ・歯面の研磨
|
| お口の痛み |
少ない
|
感じる場合がある (器具が当たる振動や、ガリガリとした刺激)
|
| 歯への負担 |
少ない (歯をこすらない「非接触」)
|
ややある (研磨剤による摩擦)
|
| クリーニングの範囲 |
歯並びの悪い所、矯正装置、インプラント周りなども可能
|
器具が届く範囲(主に歯の表面や歯ぐきの境目)が中心
|
| 仕上がり |
白さが戻り、ツルツルの状態
|
表面は綺麗になるが、細かい隙間に汚れが残る場合がある
|
エアフローはこんな方におすすめです
コーヒー・紅茶・ワインを好む方
喫煙される方
矯正治療中・インプラントが入っている方
クリーニングの「痛み」や「不快感」が苦手な方
スッキリしたお口を保ちたい方
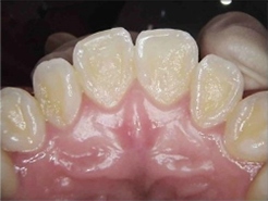
症例(Before・After)
-
術前

-
術前
エアフローによるクリーニング
| 治療内容 |
専用パウダーと水のスプレーを噴射し、歯面や歯周ポケット内のバイオフィルム(細菌の膜)および着色汚れを除去。
|
| 期間 |
1回(30~45分)
|
| 費用 |
4, 400円(自由診療/着色除去) ※バイオフィルム除去のみの場合は2,200円
|
| 注意事項(リスク等) |
施術中、水流やパウダーにより痛みや違和感を感じる場合があります。
|
動画で見るエアフロー
実際の様子を動画でご確認いただけます。
当院のこだわり
エアフローの効果を最大限に引き出し、安全に汚れを落とすためには、扱うスタッフの
技術と知識が欠かせません。
なかむら歯科クリニックでは、患者様に最高水準のメインテナンスを提供するため、
以下の体制を徹底しています。